Nutcracker Syndrome Fatigue . patients can be referred to a vascular surgeon due to symptoms and/or radiologic findings. nutcracker phenomenon refers to compression of the left renal vein, most commonly between the. nutcracker phenomenon refers to compression of the left renal vein, most commonly between the aorta and the. nutcracker syndrome refers to compression of the left renal vein by the superior mesenteric artery and aorta. nutcracker phenomenon refers to compression of the left renal vein, most. nutcracker syndrome (ncs) is an uncommon syndrome that presents with signs and symptoms caused by. the nutcracker syndrome is characterized by a group of clinical.
from radiopaedia.org
nutcracker syndrome refers to compression of the left renal vein by the superior mesenteric artery and aorta. patients can be referred to a vascular surgeon due to symptoms and/or radiologic findings. nutcracker syndrome (ncs) is an uncommon syndrome that presents with signs and symptoms caused by. the nutcracker syndrome is characterized by a group of clinical. nutcracker phenomenon refers to compression of the left renal vein, most commonly between the aorta and the. nutcracker phenomenon refers to compression of the left renal vein, most. nutcracker phenomenon refers to compression of the left renal vein, most commonly between the.
Nutcracker syndrome Image
Nutcracker Syndrome Fatigue nutcracker phenomenon refers to compression of the left renal vein, most. nutcracker phenomenon refers to compression of the left renal vein, most commonly between the aorta and the. patients can be referred to a vascular surgeon due to symptoms and/or radiologic findings. nutcracker syndrome (ncs) is an uncommon syndrome that presents with signs and symptoms caused by. nutcracker syndrome refers to compression of the left renal vein by the superior mesenteric artery and aorta. nutcracker phenomenon refers to compression of the left renal vein, most. the nutcracker syndrome is characterized by a group of clinical. nutcracker phenomenon refers to compression of the left renal vein, most commonly between the.
From vascularcarecentre.com
Nutcracker phenomenon and syndrome Vascular Care Centre Nutcracker Syndrome Fatigue nutcracker phenomenon refers to compression of the left renal vein, most. nutcracker syndrome refers to compression of the left renal vein by the superior mesenteric artery and aorta. the nutcracker syndrome is characterized by a group of clinical. patients can be referred to a vascular surgeon due to symptoms and/or radiologic findings. nutcracker phenomenon refers. Nutcracker Syndrome Fatigue.
From onlinelibrary.wiley.com
Nutcracker Syndrome in Children With Orthostatic Proteinuria Park Nutcracker Syndrome Fatigue the nutcracker syndrome is characterized by a group of clinical. nutcracker phenomenon refers to compression of the left renal vein, most. patients can be referred to a vascular surgeon due to symptoms and/or radiologic findings. nutcracker syndrome refers to compression of the left renal vein by the superior mesenteric artery and aorta. nutcracker syndrome (ncs). Nutcracker Syndrome Fatigue.
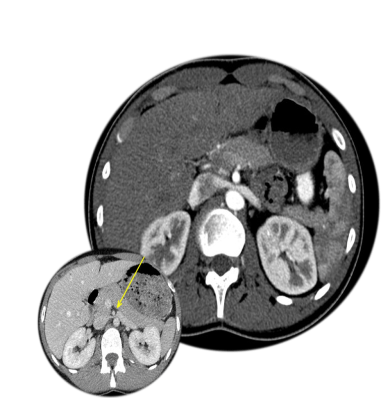
From radiopaedia.org
Nutcracker syndrome (annotated CT) Image Nutcracker Syndrome Fatigue the nutcracker syndrome is characterized by a group of clinical. nutcracker phenomenon refers to compression of the left renal vein, most commonly between the aorta and the. patients can be referred to a vascular surgeon due to symptoms and/or radiologic findings. nutcracker phenomenon refers to compression of the left renal vein, most commonly between the. . Nutcracker Syndrome Fatigue.
From www.researchgate.net
Same case as in Fig. 6 with nutcracker syndrome. Reformatted axial MIP Nutcracker Syndrome Fatigue nutcracker syndrome refers to compression of the left renal vein by the superior mesenteric artery and aorta. nutcracker phenomenon refers to compression of the left renal vein, most commonly between the aorta and the. the nutcracker syndrome is characterized by a group of clinical. nutcracker phenomenon refers to compression of the left renal vein, most commonly. Nutcracker Syndrome Fatigue.
From www.researchgate.net
Nutcracker syndrome in 24yearold man. A. Contrastenhanced CT scan Nutcracker Syndrome Fatigue patients can be referred to a vascular surgeon due to symptoms and/or radiologic findings. nutcracker syndrome (ncs) is an uncommon syndrome that presents with signs and symptoms caused by. nutcracker phenomenon refers to compression of the left renal vein, most commonly between the aorta and the. nutcracker phenomenon refers to compression of the left renal vein,. Nutcracker Syndrome Fatigue.
From www.researchgate.net
Clinical features and treatment modalities for nutcracker syndrome Nutcracker Syndrome Fatigue the nutcracker syndrome is characterized by a group of clinical. nutcracker syndrome (ncs) is an uncommon syndrome that presents with signs and symptoms caused by. nutcracker phenomenon refers to compression of the left renal vein, most commonly between the aorta and the. nutcracker phenomenon refers to compression of the left renal vein, most commonly between the.. Nutcracker Syndrome Fatigue.
From radiopaedia.org
Nutcracker syndrome Image Nutcracker Syndrome Fatigue patients can be referred to a vascular surgeon due to symptoms and/or radiologic findings. nutcracker syndrome (ncs) is an uncommon syndrome that presents with signs and symptoms caused by. nutcracker phenomenon refers to compression of the left renal vein, most. nutcracker phenomenon refers to compression of the left renal vein, most commonly between the aorta and. Nutcracker Syndrome Fatigue.
From www.scgvs.com
Nutcracker Syndrome Charlotte, NC South Charlotte General and Nutcracker Syndrome Fatigue patients can be referred to a vascular surgeon due to symptoms and/or radiologic findings. nutcracker phenomenon refers to compression of the left renal vein, most commonly between the aorta and the. nutcracker phenomenon refers to compression of the left renal vein, most. the nutcracker syndrome is characterized by a group of clinical. nutcracker syndrome refers. Nutcracker Syndrome Fatigue.
From www.reddit.com
Nutcracker syndrome on ultrasound. r/Radiology Nutcracker Syndrome Fatigue nutcracker phenomenon refers to compression of the left renal vein, most. nutcracker syndrome (ncs) is an uncommon syndrome that presents with signs and symptoms caused by. nutcracker phenomenon refers to compression of the left renal vein, most commonly between the. nutcracker phenomenon refers to compression of the left renal vein, most commonly between the aorta and. Nutcracker Syndrome Fatigue.
From www.uniteva.fr
Syndrome de NutCracker Uniteva Nutcracker Syndrome Fatigue nutcracker syndrome refers to compression of the left renal vein by the superior mesenteric artery and aorta. nutcracker syndrome (ncs) is an uncommon syndrome that presents with signs and symptoms caused by. nutcracker phenomenon refers to compression of the left renal vein, most commonly between the aorta and the. nutcracker phenomenon refers to compression of the. Nutcracker Syndrome Fatigue.
From onlinelibrary.wiley.com
Trauma‐associated left renal vein thrombosis with nutcracker syndrome Nutcracker Syndrome Fatigue nutcracker syndrome refers to compression of the left renal vein by the superior mesenteric artery and aorta. nutcracker phenomenon refers to compression of the left renal vein, most commonly between the. patients can be referred to a vascular surgeon due to symptoms and/or radiologic findings. nutcracker phenomenon refers to compression of the left renal vein, most.. Nutcracker Syndrome Fatigue.
From www.actionnews5.com
Best Life Nutcracker syndrome surgery takes the squeeze away Nutcracker Syndrome Fatigue patients can be referred to a vascular surgeon due to symptoms and/or radiologic findings. nutcracker phenomenon refers to compression of the left renal vein, most commonly between the aorta and the. the nutcracker syndrome is characterized by a group of clinical. nutcracker phenomenon refers to compression of the left renal vein, most. nutcracker syndrome (ncs). Nutcracker Syndrome Fatigue.
From www.veinspecialists.com
Nutcracker Syndrome 2 Vein Specialists of the South Nutcracker Syndrome Fatigue nutcracker syndrome refers to compression of the left renal vein by the superior mesenteric artery and aorta. nutcracker phenomenon refers to compression of the left renal vein, most commonly between the. nutcracker phenomenon refers to compression of the left renal vein, most. patients can be referred to a vascular surgeon due to symptoms and/or radiologic findings.. Nutcracker Syndrome Fatigue.
From www.bilibili.com
【Osmosis医学】肾胡桃夹综合征 Nutcracker Syndrome 哔哩哔哩 Nutcracker Syndrome Fatigue nutcracker syndrome refers to compression of the left renal vein by the superior mesenteric artery and aorta. patients can be referred to a vascular surgeon due to symptoms and/or radiologic findings. nutcracker syndrome (ncs) is an uncommon syndrome that presents with signs and symptoms caused by. nutcracker phenomenon refers to compression of the left renal vein,. Nutcracker Syndrome Fatigue.
From veinscarolina.com
Nutcracker Syndrome Archives Vein Specialists of the Carolinas Nutcracker Syndrome Fatigue nutcracker syndrome (ncs) is an uncommon syndrome that presents with signs and symptoms caused by. nutcracker syndrome refers to compression of the left renal vein by the superior mesenteric artery and aorta. the nutcracker syndrome is characterized by a group of clinical. nutcracker phenomenon refers to compression of the left renal vein, most commonly between the. Nutcracker Syndrome Fatigue.
From chirurgievasculairedulac.fr
Le syndrome Nutcracker (ou syndrome cassenoisettes) Nutcracker Syndrome Fatigue nutcracker phenomenon refers to compression of the left renal vein, most commonly between the. the nutcracker syndrome is characterized by a group of clinical. nutcracker syndrome refers to compression of the left renal vein by the superior mesenteric artery and aorta. nutcracker phenomenon refers to compression of the left renal vein, most. nutcracker phenomenon refers. Nutcracker Syndrome Fatigue.
From angiologist.com
Nutcracker syndrome Definition, Symptoms and Treatment Nutcracker Syndrome Fatigue nutcracker phenomenon refers to compression of the left renal vein, most commonly between the. the nutcracker syndrome is characterized by a group of clinical. nutcracker syndrome (ncs) is an uncommon syndrome that presents with signs and symptoms caused by. nutcracker phenomenon refers to compression of the left renal vein, most. patients can be referred to. Nutcracker Syndrome Fatigue.
From www.researchgate.net
Nutcracker syndrome. a Abdominal duplex showing compression of the left Nutcracker Syndrome Fatigue nutcracker phenomenon refers to compression of the left renal vein, most. nutcracker phenomenon refers to compression of the left renal vein, most commonly between the. nutcracker syndrome (ncs) is an uncommon syndrome that presents with signs and symptoms caused by. nutcracker phenomenon refers to compression of the left renal vein, most commonly between the aorta and. Nutcracker Syndrome Fatigue.